近日,骨衛士學科規劃建設——病例討論會2021年第二期成功開展,本期病例討論會圍繞一例腰椎術后感染的處理的相關問題展開深入探討。

骨衛士醫療集團特聘專家、南方醫科大學珠江醫院骨科專家、骨衛士合作醫院中山市廣濟醫院骨科主任陳仲教授擔任匯報專家。


病例節選
患 者:男,66歲。
主 訴:因腰痛伴左下肢痛半年,在當地行腰椎內固定治療,術后下肢疼痛癥狀緩解。術后1個月后開始腰痛,腰痛性質為持續鈍痛,負重、活動加重 服止痛藥可減輕,推拿按摩理療效果不佳。
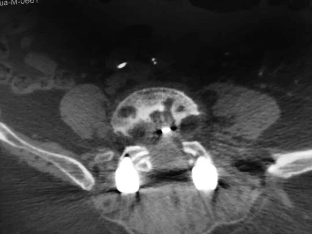
腰椎內固定術后影像:CT可見椎體多個低密度灶。


▲X光片


▲MR

▲CT


手術操作:2020年6月10日行后路開窗探查術,術中見內固定無明顯松動,椎間隙肉芽組織增生,取出深部肉芽組織送檢病理微生物鑒定術后,持續沖洗引流1周。病理報告為肉芽組織,細菌培養7天無細菌生長。
術后1周出院,但1個月后腰痛復發,乃再次入院。計劃孔鏡下精確活檢,加送高通量測序。
影像資料:

▲孔鏡工作通道直達病灶

▲高通量基因測序報告:玫瑰單胞菌
術后情況:術后患者疼痛癥狀減輕,經理療,少量腺苷鈷胺,地塞米松肌注后癥狀完全緩,目前術后6個月多無復發。
關于是否取出內固定有三種觀點:
一、主取派:內固定表面細菌形成保護膜;
二、主保派:在沖洗引流前提下,保護膜可被消除;
三、中間派:根據內固定是否松脫決定。
陳仲教授認為,內固定術后感染如仍穩定可不取出,要通過多途徑明確病原菌,選用敏感足量抗生素,并使用適當激素消除無菌性炎癥。
莒南縣紅十字永康醫院王偉主任表示,椎體感染的病例在臨床上并不多見,此病例從術前各項檢查以及第一次手術后的病理細胞學檢查都并不支持感染的診斷,最后通過細菌基因檢測才明確診斷的。除了通量的基因檢測外,是否有更加可行的適合于大多數醫院的檢測手段。
湖南武岡展輝醫院胡立冬主任表示,脊柱感染術后病人第一次手術和第二次手術間隔時間節點很重要。早期感染一般是保留內固定做清創,清創有兩種方式,一種是后入路式按原來切口進去,另一種是用椎間孔鏡。目前絕大多數選擇椎間孔鏡,保留內固定,椎間孔鏡進去后,用大量抗生素沖洗,很多患者通過這樣的治療得到了很好的效果。
骨衛士專家委員會副主席楊述華教授肯定了陳仲教授的診斷及治療方案。他表示,此病例是一個遲發性的晚期的深部感染,病例的臨床癥狀及影像學有明顯的感染跡象,同時C反應蛋白高,陳仲教授通過椎間孔鏡取出肉芽組織,進一步證實了病例是感染型。臨床上我們提倡能吃藥的不打針,能打針的不開刀,能開小刀的不開大刀。陳仲教授的治療方法很合理,對患者沒有造成大的創傷。因為這個患者感染比較嚴重,涉及到椎體,可能會出現一些或輕或重的疼痛。如果患者出現重度或難以忍受的疼痛,可以選擇進一步手術。手術方案可以考慮將后側螺釘撤掉,前入路做椎體內固定。
楊述華教授為大家分享了他在臨床上遇到了的一則類似病例。此病例做完微創后出現腰部疼痛,沒有神經根刺激癥狀。楊教授通過對患者查體、影像、血像等相關檢查資料,診斷為感染。由于涉及到椎體,考慮到手術條件和暴露條件,手術時選擇了前入路。手術時用截骨刀等工具將病變的椎體、壞死組織、肉芽組織、炎性組織等徹底清除。盡量保留不影響上下位椎體,用釘子固定,再用鈦網進行植骨做內固定。術后隨訪效果也很好。

本次病例討論陳仲教授分享的這一典型病例,給各位骨科同仁今后處理同類病癥提供了參照和依據。楊述華教授也和大家分享一個具有借鑒意義的骨科感染病例,并結合陳仲主任提供的病例,做了專業、精到的分析和點評,經驗難得,十分重要。兩位專家在處理骨科疑難雜癥方面的深厚造詣、應變能力、獨到之處,使各位在線骨科同仁深受啟發,獲益良多。
更多精彩培訓內容及相關視頻可關注骨衛士公眾號或登錄骨衛士官網獲取。